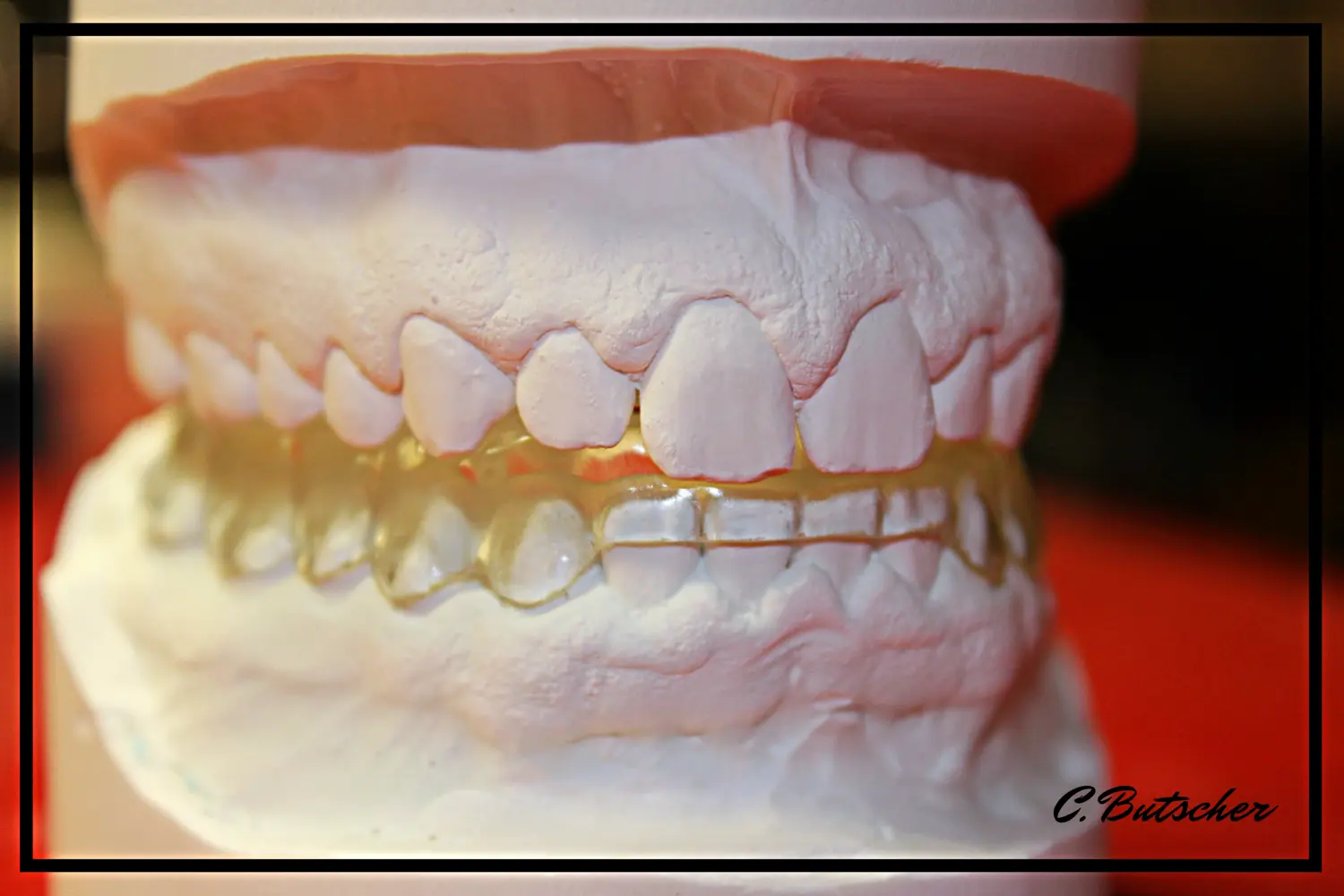
Die Aufbissschiene, auch Okklusionsschiene genannt, ist ein wichtiges therapeutisches Gerät in der Zahnmedizin, das insbesondere zur Behandlung von Bruxismus (Zähneknirschen), TMD (Temporomandibuläre Dysfunktion) und anderen okklusalen Problemen eingesetzt wird.
Diese Schienen spielen eine wichtige Rolle in der Schienentherapie, indem sie die Kiefermuskulatur entspannen und den Druck auf das Kiefergelenk reduzieren.

Zähneknirschen, auch als Bruxismus bekannt, ist eine häufige Erscheinung, die oft auf Stress, Angst oder andere Faktoren ausgelöst werden kann. Unbewusstes Zähneknirschen, oft auch im Schlaf, führt oft zu abgenutzten, abgebrochenen, oder schmerzhaften Zähnen.
Um diesen Beschwerden vorzubeugen, wird die Knirscherschiene individuell angepasst.
Mit einer Retentionsschiene wird die nach einer kieferorthopädischen Behandlung erreichter Zahnstellung stabilisiert und fixiert.
Jetzt kontaktieren

Eine Bleaching Schiene wird zur Zahnaufhellung verwendet. Sie ist eine maßgefertigte Schiene, die mittels aufgetragener Bleichmittel die Zähne aufhellt.
Jetzt kontaktierenDer Position er ist ein sehr effektives Gerät, dass meist zum Abschluss einer Behandlung eingesetzt wird, um eine Feinjustierung vorzunehmen und die Zähne in eine individuelle Endposition geführt werden.
Jetzt kontaktieren